


Danièle Larose, DMD, AAACD
Course Details
Location: Montreal, QC
Venue: Le Mount Stephen
Date: June 12, 2026
Time: 8:30 am - 4:30 pm (EST)
AGD Course Code: 780 & 370
6.5 CE Credits
Cancellation Details: Full refunds will be granted if notification is received 45 days prior to the course. If cancellation occurs less than 45 days prior to the course, a $150 fee per course will be withheld for processing and administrative costs. No refunds will be granted for cancellations made 21 days prior to the course. CRD reserves the right to cancel courses due to insufficient registrations, instructor cancellation, or unforeseen circumstances beyond our control. In the event of course cancellation, a full refund will be issued, and registrants will be notified promptly. CRD is not liable for any associated losses, damages, or expenses, including travel and accommodations.
Course Overview
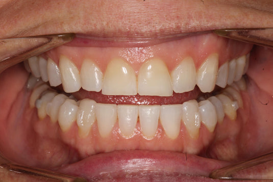
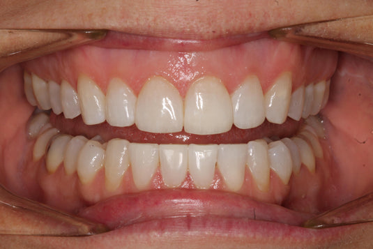
Aesthetic dentistry demands more than beautiful restorations. It requires precision, predictability, and a digitally driven workflow that the entire dental team can support. This course is designed to elevate aesthetic outcomes by seamlessly integrating digital workflows, clear aligner therapy, and advanced composite techniques.
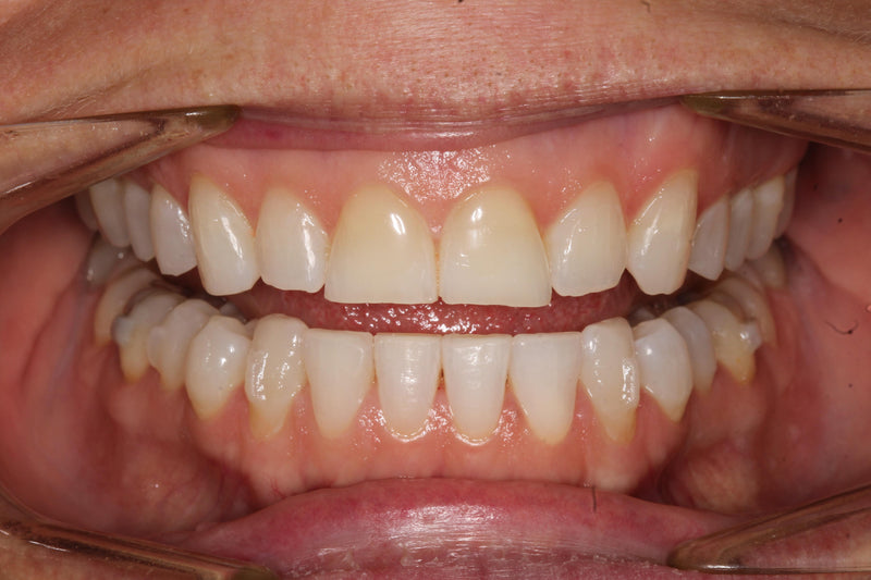
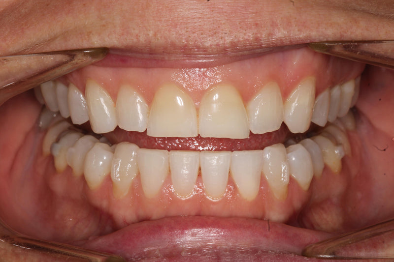
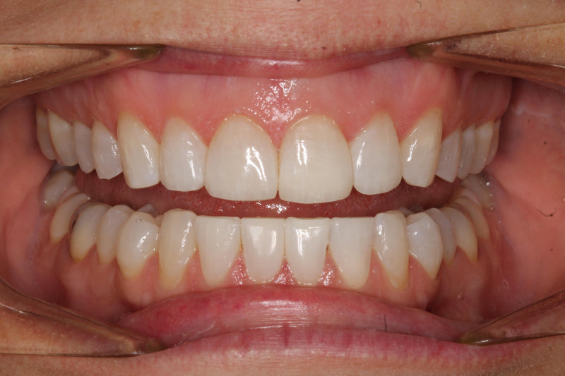
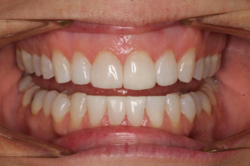
Participants will gain practical knowledge in intraoral scanning, treatment plan presentations, placement of clear aligner attachments, and the delivery of highly aesthetic anterior restorations by combining layered composite techniques and the concepts of the Bioclear Method, with a strong emphasis on predictability, efficiency, and beauty.
Learning Objectives:
- Confidently present comprehensive aesthetic treatment plans supported by intra oral scans
- Understand how to place clear aligner attachments with precision, predictability, and consistency
- Master layered composite techniques for natural, aesthetic restorations
- Understand and apply the concepts of the Bioclear Method for black triangles, diastema closure, and tooth reshaping
- Elevate case acceptance through aesthetic-driven communication
Danièle Larose, DMD, AAACD

Doctor Danièle Larose obtained her D.M.D. from the University of Montreal in 1997. She is an accredited member of the American Academy of Cosmetic Dentistry since 2020. She maintains a private practice in St-Laurent, Quebec, Canada primarily devoted to holitistic esthetic dentistry and orthodontics. Her continuing education has focused on dental/facial esthetics and smile design, and has included programs from the Las Vegas Institute for Advanced Dental Training. She was the president of the Reengage Invisalign Study Club in Montreal, and a member of the Canadian and American Academies of Cosmetic Dentistry. In her dynamic and motivating style, Dr. Larose lectures and leads hands-on programs Internationally which cover direct anterior composite resin/porcelain/conservative esthetic techniques since 2004.
Dr. Larose has been featured in Oral Health’s Esthetic Issue, Continuum, and The Journal of Cosmetic Dentistry
Docteure Danièle Larose a gradué de l’Université de Montréal en 1997 et a reçu son accréditation du American Academy of Cosmetic dentistry en 2021. Elle pratique la dentisterie esthétique conservatrice et lOrthodontie en clinique privée à Montréal. Sa formation continue, axée sur l’esthétique dento-faciale et le design de sourires, comprend des programmes du réputé Las Vegas Institute for Advanced Dental Training, Dawson et Pankey . Elle est membre des académies américaine et canadienne de dentisterie cosmétique. Les cours et ateliers pratiques de la Dre Larose, caractérisés par son style dynamique et motivant, portent principalement sur les restaurations antérieures de résine composite et techniques orthodontiques. Les articles et cas cliniques de la Dre Larose ont été publiés dans l’édition esthétique d’Oral Health , Continuum et du Journal of Cosmetic Dentistry.
TRES COURT: Graduée de l’université de Montréal en 1997, Dre Larose a reçu son acréditation au American Academy of Cosmetic Dentistry en 2020. Elle a également étudié au Dawson Institute, Pankey Instutite et au Las Vegas Institute for Advanced Dental Training. Elle fait partie du Invisalign international teaching faculty et du Center for Esthetic Excellence.
Durant les vingt dernières années, elle s’est distinguée en offrant au Canada ainsi qu’à l’international des cours pratiques et théoriques sur les techniques de restaurations antérieures esthétiques et orthodontiques.
Upcoming In-Person Courses

Clinical Research Dental is an Approved PACE Program Provider by the Academy of General Dentistry. The formal continuing education programs of this program provider are accepted by the AGD for Fellowship/Mastership and Membership Maintenance credit. Approval does not imply acceptance by a state or provincial board of dentistry or AGD endorsement. The current term of approval extends from 1/1/2023 to 12/31/2026 and the Provider ID # is 208086.